あなたの二重はどのタイプ 理想の二重幅に近づけるメイク法 Torothy トロシー
ヒロインメイク スムースリキッドアイライナー スーパーキープ 02 「肌なじみのいい茶色で、目頭の切開ラインも自然に」。涙にぬれても落ちない耐久リキッドライナー。 ¥1100/kissme(伊勢半)二重まぶた 切開法+ROOF切除 ¥385,000 二重まぶた 他院切開修正(両側) ¥440,000 逆さ睫毛加算 +¥ 55,000 二重切開後の額ボトックス ¥26,400 ※金額はすべて税込表記です
二重 切開 メイク
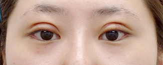
二重 切開 メイク-17 hours ago 一重&奥二重メイク企画で引っ張りだこ♡ 6 目頭の延長線上にcでごく短い切開ラインを描く。左右の目のバランスを見ながら、ラインの長さを調整して目のサイズ感を合わせる。 全切開二重まぶた法の傷跡 術後2週間程度は赤みが目立ちますが、メイクでカバーできる程度です。 傷跡は約1ヶ月かけて、白い線のようになっていきます。 その後、3~6ヶ月程度で目立たなくなる場合がほとんどです。 「傷跡が全く残らない」というの
自然に大きくみえる 切開ラインの引き方 を伝授 一重 奥二重 二重共通 Mine マイン
4 「切開法」で二重整形をするまでの過程を8ステップで解説! 5 切開法で二重整形した術後の経過はダウンタイムが長く安静が必須! 6 切開法で二重整形した方のネット上の口コミ・体験談を集めてみた! 7 まとめ 眉下切開の手術 メイク落として、採血して、術前の写真撮って、お会計も先に済ませました。 いざ手術室へ! デザインはナチュラルな二重を希望しました。先生がマッキーで印をつけた切る部分を見て、「えっこんなに切るの」と声に出ちゃった。 二重幅:最初の手術と同一ラインのみ対応 小切開法 ¥195,100~¥437,800 ¥212,800 ①二重幅の変更保証 保証期間:術後3か月が経過してから1か月以内 保証対象:小切開法の手術が初めての方 二重幅:変更可 全切開法 ¥195,100~¥437,800 ¥298,000 ①二重幅の
アイメイク:奥二重&目の小ささをカバーするアイメイク ふんわりタレ目eye アイラインは目頭に切開ラインを入れて目の横の長さを引き伸ばそう!動画 見てくださってありがとうございます♡今回は 二重全切開 の 傷口 を 隠す メイク について動画 にしました!リクエストいただき実際に切開法はどのような施術を行うのでしょうか? 切開法のメリット&デメリット 希望の二重ラインに添ってまぶたをメスで切開する のが切開法です。 メイクの延長感覚の埋没法に対し、切開法は手術を行う整形手術です。
二重 切開 メイクのギャラリー
各画像をクリックすると、ダウンロードまたは拡大表示できます
![]() 幅広二重やぱっちり目を目指す方におすすめ 切開法で取れない二重を 美容皮膚科 美容整形は銀座美容外科クリニック 銀座 新宿 | ![]() 幅広二重やぱっちり目を目指す方におすすめ 切開法で取れない二重を 美容皮膚科 美容整形は銀座美容外科クリニック 銀座 新宿 | ![]() 幅広二重やぱっちり目を目指す方におすすめ 切開法で取れない二重を 美容皮膚科 美容整形は銀座美容外科クリニック 銀座 新宿 |
幅広二重やぱっちり目を目指す方におすすめ 切開法で取れない二重を 美容皮膚科 美容整形は銀座美容外科クリニック 銀座 新宿 | ![]() 幅広二重やぱっちり目を目指す方におすすめ 切開法で取れない二重を 美容皮膚科 美容整形は銀座美容外科クリニック 銀座 新宿 | ![]() 幅広二重やぱっちり目を目指す方におすすめ 切開法で取れない二重を 美容皮膚科 美容整形は銀座美容外科クリニック 銀座 新宿 |
![]() 幅広二重やぱっちり目を目指す方におすすめ 切開法で取れない二重を 美容皮膚科 美容整形は銀座美容外科クリニック 銀座 新宿 | ![]() 幅広二重やぱっちり目を目指す方におすすめ 切開法で取れない二重を 美容皮膚科 美容整形は銀座美容外科クリニック 銀座 新宿 | ![]() 幅広二重やぱっちり目を目指す方におすすめ 切開法で取れない二重を 美容皮膚科 美容整形は銀座美容外科クリニック 銀座 新宿 |
![]() 幅広二重やぱっちり目を目指す方におすすめ 切開法で取れない二重を 美容皮膚科 美容整形は銀座美容外科クリニック 銀座 新宿 | ![]() 幅広二重やぱっちり目を目指す方におすすめ 切開法で取れない二重を 美容皮膚科 美容整形は銀座美容外科クリニック 銀座 新宿 | ![]() 幅広二重やぱっちり目を目指す方におすすめ 切開法で取れない二重を 美容皮膚科 美容整形は銀座美容外科クリニック 銀座 新宿 |
幅広二重やぱっちり目を目指す方におすすめ 切開法で取れない二重を 美容皮膚科 美容整形は銀座美容外科クリニック 銀座 新宿 | ![]() 幅広二重やぱっちり目を目指す方におすすめ 切開法で取れない二重を 美容皮膚科 美容整形は銀座美容外科クリニック 銀座 新宿 | ![]() 幅広二重やぱっちり目を目指す方におすすめ 切開法で取れない二重を 美容皮膚科 美容整形は銀座美容外科クリニック 銀座 新宿 |
![]() 幅広二重やぱっちり目を目指す方におすすめ 切開法で取れない二重を 美容皮膚科 美容整形は銀座美容外科クリニック 銀座 新宿 | 幅広二重やぱっちり目を目指す方におすすめ 切開法で取れない二重を 美容皮膚科 美容整形は銀座美容外科クリニック 銀座 新宿 | ![]() 幅広二重やぱっちり目を目指す方におすすめ 切開法で取れない二重を 美容皮膚科 美容整形は銀座美容外科クリニック 銀座 新宿 |
![]() 幅広二重やぱっちり目を目指す方におすすめ 切開法で取れない二重を 美容皮膚科 美容整形は銀座美容外科クリニック 銀座 新宿 | ![]() 幅広二重やぱっちり目を目指す方におすすめ 切開法で取れない二重を 美容皮膚科 美容整形は銀座美容外科クリニック 銀座 新宿 | ![]() 幅広二重やぱっちり目を目指す方におすすめ 切開法で取れない二重を 美容皮膚科 美容整形は銀座美容外科クリニック 銀座 新宿 |
幅広二重やぱっちり目を目指す方におすすめ 切開法で取れない二重を 美容皮膚科 美容整形は銀座美容外科クリニック 銀座 新宿 | ![]() 幅広二重やぱっちり目を目指す方におすすめ 切開法で取れない二重を 美容皮膚科 美容整形は銀座美容外科クリニック 銀座 新宿 | ![]() 幅広二重やぱっちり目を目指す方におすすめ 切開法で取れない二重を 美容皮膚科 美容整形は銀座美容外科クリニック 銀座 新宿 |
![]() 幅広二重やぱっちり目を目指す方におすすめ 切開法で取れない二重を 美容皮膚科 美容整形は銀座美容外科クリニック 銀座 新宿 | ![]() 幅広二重やぱっちり目を目指す方におすすめ 切開法で取れない二重を 美容皮膚科 美容整形は銀座美容外科クリニック 銀座 新宿 | ![]() 幅広二重やぱっちり目を目指す方におすすめ 切開法で取れない二重を 美容皮膚科 美容整形は銀座美容外科クリニック 銀座 新宿 |
![]() 幅広二重やぱっちり目を目指す方におすすめ 切開法で取れない二重を 美容皮膚科 美容整形は銀座美容外科クリニック 銀座 新宿 | ![]() 幅広二重やぱっちり目を目指す方におすすめ 切開法で取れない二重を 美容皮膚科 美容整形は銀座美容外科クリニック 銀座 新宿 | 幅広二重やぱっちり目を目指す方におすすめ 切開法で取れない二重を 美容皮膚科 美容整形は銀座美容外科クリニック 銀座 新宿 |
![]() 幅広二重やぱっちり目を目指す方におすすめ 切開法で取れない二重を 美容皮膚科 美容整形は銀座美容外科クリニック 銀座 新宿 | ![]() 幅広二重やぱっちり目を目指す方におすすめ 切開法で取れない二重を 美容皮膚科 美容整形は銀座美容外科クリニック 銀座 新宿 | ![]() 幅広二重やぱっちり目を目指す方におすすめ 切開法で取れない二重を 美容皮膚科 美容整形は銀座美容外科クリニック 銀座 新宿 |
![]() 幅広二重やぱっちり目を目指す方におすすめ 切開法で取れない二重を 美容皮膚科 美容整形は銀座美容外科クリニック 銀座 新宿 | ![]() 幅広二重やぱっちり目を目指す方におすすめ 切開法で取れない二重を 美容皮膚科 美容整形は銀座美容外科クリニック 銀座 新宿 | ![]() 幅広二重やぱっちり目を目指す方におすすめ 切開法で取れない二重を 美容皮膚科 美容整形は銀座美容外科クリニック 銀座 新宿 |
![]() 幅広二重やぱっちり目を目指す方におすすめ 切開法で取れない二重を 美容皮膚科 美容整形は銀座美容外科クリニック 銀座 新宿 | ![]() 幅広二重やぱっちり目を目指す方におすすめ 切開法で取れない二重を 美容皮膚科 美容整形は銀座美容外科クリニック 銀座 新宿 | ![]() 幅広二重やぱっちり目を目指す方におすすめ 切開法で取れない二重を 美容皮膚科 美容整形は銀座美容外科クリニック 銀座 新宿 |
![]() 幅広二重やぱっちり目を目指す方におすすめ 切開法で取れない二重を 美容皮膚科 美容整形は銀座美容外科クリニック 銀座 新宿 | ![]() 幅広二重やぱっちり目を目指す方におすすめ 切開法で取れない二重を 美容皮膚科 美容整形は銀座美容外科クリニック 銀座 新宿 | ![]() 幅広二重やぱっちり目を目指す方におすすめ 切開法で取れない二重を 美容皮膚科 美容整形は銀座美容外科クリニック 銀座 新宿 |
![]() 幅広二重やぱっちり目を目指す方におすすめ 切開法で取れない二重を 美容皮膚科 美容整形は銀座美容外科クリニック 銀座 新宿 | 幅広二重やぱっちり目を目指す方におすすめ 切開法で取れない二重を 美容皮膚科 美容整形は銀座美容外科クリニック 銀座 新宿 | ![]() 幅広二重やぱっちり目を目指す方におすすめ 切開法で取れない二重を 美容皮膚科 美容整形は銀座美容外科クリニック 銀座 新宿 |
幅広二重やぱっちり目を目指す方におすすめ 切開法で取れない二重を 美容皮膚科 美容整形は銀座美容外科クリニック 銀座 新宿 | ![]() 幅広二重やぱっちり目を目指す方におすすめ 切開法で取れない二重を 美容皮膚科 美容整形は銀座美容外科クリニック 銀座 新宿 | ![]() 幅広二重やぱっちり目を目指す方におすすめ 切開法で取れない二重を 美容皮膚科 美容整形は銀座美容外科クリニック 銀座 新宿 |
![]() 幅広二重やぱっちり目を目指す方におすすめ 切開法で取れない二重を 美容皮膚科 美容整形は銀座美容外科クリニック 銀座 新宿 | ![]() 幅広二重やぱっちり目を目指す方におすすめ 切開法で取れない二重を 美容皮膚科 美容整形は銀座美容外科クリニック 銀座 新宿 | ![]() 幅広二重やぱっちり目を目指す方におすすめ 切開法で取れない二重を 美容皮膚科 美容整形は銀座美容外科クリニック 銀座 新宿 |
![]() 幅広二重やぱっちり目を目指す方におすすめ 切開法で取れない二重を 美容皮膚科 美容整形は銀座美容外科クリニック 銀座 新宿 | ![]() 幅広二重やぱっちり目を目指す方におすすめ 切開法で取れない二重を 美容皮膚科 美容整形は銀座美容外科クリニック 銀座 新宿 | ![]() 幅広二重やぱっちり目を目指す方におすすめ 切開法で取れない二重を 美容皮膚科 美容整形は銀座美容外科クリニック 銀座 新宿 |
![]() 幅広二重やぱっちり目を目指す方におすすめ 切開法で取れない二重を 美容皮膚科 美容整形は銀座美容外科クリニック 銀座 新宿 | ![]() 幅広二重やぱっちり目を目指す方におすすめ 切開法で取れない二重を 美容皮膚科 美容整形は銀座美容外科クリニック 銀座 新宿 | ![]() 幅広二重やぱっちり目を目指す方におすすめ 切開法で取れない二重を 美容皮膚科 美容整形は銀座美容外科クリニック 銀座 新宿 |
![]() 幅広二重やぱっちり目を目指す方におすすめ 切開法で取れない二重を 美容皮膚科 美容整形は銀座美容外科クリニック 銀座 新宿 | ![]() 幅広二重やぱっちり目を目指す方におすすめ 切開法で取れない二重を 美容皮膚科 美容整形は銀座美容外科クリニック 銀座 新宿 | ![]() 幅広二重やぱっちり目を目指す方におすすめ 切開法で取れない二重を 美容皮膚科 美容整形は銀座美容外科クリニック 銀座 新宿 |
![]() 幅広二重やぱっちり目を目指す方におすすめ 切開法で取れない二重を 美容皮膚科 美容整形は銀座美容外科クリニック 銀座 新宿 | ![]() 幅広二重やぱっちり目を目指す方におすすめ 切開法で取れない二重を 美容皮膚科 美容整形は銀座美容外科クリニック 銀座 新宿 | ![]() 幅広二重やぱっちり目を目指す方におすすめ 切開法で取れない二重を 美容皮膚科 美容整形は銀座美容外科クリニック 銀座 新宿 |
![]() 幅広二重やぱっちり目を目指す方におすすめ 切開法で取れない二重を 美容皮膚科 美容整形は銀座美容外科クリニック 銀座 新宿 | ![]() 幅広二重やぱっちり目を目指す方におすすめ 切開法で取れない二重を 美容皮膚科 美容整形は銀座美容外科クリニック 銀座 新宿 | ![]() 幅広二重やぱっちり目を目指す方におすすめ 切開法で取れない二重を 美容皮膚科 美容整形は銀座美容外科クリニック 銀座 新宿 |
幅広二重やぱっちり目を目指す方におすすめ 切開法で取れない二重を 美容皮膚科 美容整形は銀座美容外科クリニック 銀座 新宿 | ![]() 幅広二重やぱっちり目を目指す方におすすめ 切開法で取れない二重を 美容皮膚科 美容整形は銀座美容外科クリニック 銀座 新宿 | 幅広二重やぱっちり目を目指す方におすすめ 切開法で取れない二重を 美容皮膚科 美容整形は銀座美容外科クリニック 銀座 新宿 |
![]() 幅広二重やぱっちり目を目指す方におすすめ 切開法で取れない二重を 美容皮膚科 美容整形は銀座美容外科クリニック 銀座 新宿 | ![]() 幅広二重やぱっちり目を目指す方におすすめ 切開法で取れない二重を 美容皮膚科 美容整形は銀座美容外科クリニック 銀座 新宿 | ![]() 幅広二重やぱっちり目を目指す方におすすめ 切開法で取れない二重を 美容皮膚科 美容整形は銀座美容外科クリニック 銀座 新宿 |
![]() 幅広二重やぱっちり目を目指す方におすすめ 切開法で取れない二重を 美容皮膚科 美容整形は銀座美容外科クリニック 銀座 新宿 | ![]() 幅広二重やぱっちり目を目指す方におすすめ 切開法で取れない二重を 美容皮膚科 美容整形は銀座美容外科クリニック 銀座 新宿 | ![]() 幅広二重やぱっちり目を目指す方におすすめ 切開法で取れない二重を 美容皮膚科 美容整形は銀座美容外科クリニック 銀座 新宿 |
![]() 幅広二重やぱっちり目を目指す方におすすめ 切開法で取れない二重を 美容皮膚科 美容整形は銀座美容外科クリニック 銀座 新宿 | 幅広二重やぱっちり目を目指す方におすすめ 切開法で取れない二重を 美容皮膚科 美容整形は銀座美容外科クリニック 銀座 新宿 | ![]() 幅広二重やぱっちり目を目指す方におすすめ 切開法で取れない二重を 美容皮膚科 美容整形は銀座美容外科クリニック 銀座 新宿 |
![]() 幅広二重やぱっちり目を目指す方におすすめ 切開法で取れない二重を 美容皮膚科 美容整形は銀座美容外科クリニック 銀座 新宿 | ![]() 幅広二重やぱっちり目を目指す方におすすめ 切開法で取れない二重を 美容皮膚科 美容整形は銀座美容外科クリニック 銀座 新宿 | ![]() 幅広二重やぱっちり目を目指す方におすすめ 切開法で取れない二重を 美容皮膚科 美容整形は銀座美容外科クリニック 銀座 新宿 |
![]() 幅広二重やぱっちり目を目指す方におすすめ 切開法で取れない二重を 美容皮膚科 美容整形は銀座美容外科クリニック 銀座 新宿 | ![]() 幅広二重やぱっちり目を目指す方におすすめ 切開法で取れない二重を 美容皮膚科 美容整形は銀座美容外科クリニック 銀座 新宿 | ![]() 幅広二重やぱっちり目を目指す方におすすめ 切開法で取れない二重を 美容皮膚科 美容整形は銀座美容外科クリニック 銀座 新宿 |
![]() 幅広二重やぱっちり目を目指す方におすすめ 切開法で取れない二重を 美容皮膚科 美容整形は銀座美容外科クリニック 銀座 新宿 | 幅広二重やぱっちり目を目指す方におすすめ 切開法で取れない二重を 美容皮膚科 美容整形は銀座美容外科クリニック 銀座 新宿 | ![]() 幅広二重やぱっちり目を目指す方におすすめ 切開法で取れない二重を 美容皮膚科 美容整形は銀座美容外科クリニック 銀座 新宿 |
![]() 幅広二重やぱっちり目を目指す方におすすめ 切開法で取れない二重を 美容皮膚科 美容整形は銀座美容外科クリニック 銀座 新宿 | ![]() 幅広二重やぱっちり目を目指す方におすすめ 切開法で取れない二重を 美容皮膚科 美容整形は銀座美容外科クリニック 銀座 新宿 | ![]() 幅広二重やぱっちり目を目指す方におすすめ 切開法で取れない二重を 美容皮膚科 美容整形は銀座美容外科クリニック 銀座 新宿 |
幅広二重やぱっちり目を目指す方におすすめ 切開法で取れない二重を 美容皮膚科 美容整形は銀座美容外科クリニック 銀座 新宿 | ![]() 幅広二重やぱっちり目を目指す方におすすめ 切開法で取れない二重を 美容皮膚科 美容整形は銀座美容外科クリニック 銀座 新宿 | ![]() 幅広二重やぱっちり目を目指す方におすすめ 切開法で取れない二重を 美容皮膚科 美容整形は銀座美容外科クリニック 銀座 新宿 |
![]() 幅広二重やぱっちり目を目指す方におすすめ 切開法で取れない二重を 美容皮膚科 美容整形は銀座美容外科クリニック 銀座 新宿 | 幅広二重やぱっちり目を目指す方におすすめ 切開法で取れない二重を 美容皮膚科 美容整形は銀座美容外科クリニック 銀座 新宿 | ![]() 幅広二重やぱっちり目を目指す方におすすめ 切開法で取れない二重を 美容皮膚科 美容整形は銀座美容外科クリニック 銀座 新宿 |
![]() 幅広二重やぱっちり目を目指す方におすすめ 切開法で取れない二重を 美容皮膚科 美容整形は銀座美容外科クリニック 銀座 新宿 | 幅広二重やぱっちり目を目指す方におすすめ 切開法で取れない二重を 美容皮膚科 美容整形は銀座美容外科クリニック 銀座 新宿 | ![]() 幅広二重やぱっちり目を目指す方におすすめ 切開法で取れない二重を 美容皮膚科 美容整形は銀座美容外科クリニック 銀座 新宿 |
![]() 幅広二重やぱっちり目を目指す方におすすめ 切開法で取れない二重を 美容皮膚科 美容整形は銀座美容外科クリニック 銀座 新宿 | ![]() 幅広二重やぱっちり目を目指す方におすすめ 切開法で取れない二重を 美容皮膚科 美容整形は銀座美容外科クリニック 銀座 新宿 | ![]() 幅広二重やぱっちり目を目指す方におすすめ 切開法で取れない二重を 美容皮膚科 美容整形は銀座美容外科クリニック 銀座 新宿 |
![]() 幅広二重やぱっちり目を目指す方におすすめ 切開法で取れない二重を 美容皮膚科 美容整形は銀座美容外科クリニック 銀座 新宿 | 幅広二重やぱっちり目を目指す方におすすめ 切開法で取れない二重を 美容皮膚科 美容整形は銀座美容外科クリニック 銀座 新宿 |
二重整形の経過を記録します。 術後17日目(メイク開始) 抜糸から1週間経ったので 今日からメイク解禁です! 二重整形(全切開) 経過ブログ一重×切開ラインの見え方♡ 下向き切開ライン! 横向き切開ライン! 一重を二重にする!二重を作る方法♡ アイプチでバレにくいのは? まつエクをしている時にもアイプチをし
Incoming Term: 二重 切開 メイク, 二重 切開 メイク 隠す,



























































































0 件のコメント:
コメントを投稿